Forfattere

At sutte er en meget vigtig refleks, som babyer er afhængige af for at få mad. Sutterefleksen kan observeres, mens barnet stadig ligger i moderens mave. Ifølge Verdenssundhedsorganisationen bør amning være den eneste form for spædbarnsernæring i de første 6 måneder af barnets liv, men nogle familier vælger at bruge flasker. Sutning, der ikke er relateret til fodring, kaldes ikke-nærende sutning. Det er f.eks. sutning på sutter, læber, fingre og legetøj, som, når barnet bliver ældre, kan ændre knoglernes vækstmønster, skabe ubalance i ansigtsmusklerne og forårsage fejlstilling af tænderne. Risici forbundet med non-nutritive suttevaner bør forklares til familierne. Hvis et barn udvikler non-nutritive suttevaner, bør hele familien hjælpe barnet med at bryde vanen på den bedst mulige måde, f.eks. ved at reducere varigheden af non-nutritive sugninger, ikke tilbyde sutter og distrahere barnet med andre aktiviteter.
At sutte er en naturlig adfærd, som babyer bruger til at spise. Selvom Verdenssundhedsorganisationen anbefaler, at babyer udelukkende ammes i de første 6 måneder, foretrækker nogle familier at bruge sutteflasker. Sutning, der ikke har til formål at fodre, kaldes ikke-nærende sutning. Det kan ændre, hvordan knoglerne vokser, forstyrre balancen i ansigtsmusklerne og forrykke tænderne. Lad os forstå, hvordan kraniet, ansigtet og kæben vokser, hvordan ikke-næringsrigtig sutning kan påvirke denne vækst, og hvad forældre kan gøre ved det.
Du har måske bemærket, at en babys hoved og ansigt ikke bare ligner en mindre udgave af en voksens hoved og ansigt. For at få et mere voksent udseende skal barnets kranie, ansigt og kæbe gennemgå en kompleks vækstproces, som kaldes craniofacial growth. I løbet af de første to leveår kan kraniets volumen øges til tre gange kraniets volumen ved fødslen. Babyer har små, fleksible mellemrum mellem deres kranieknogler fyldt med blødt væv, som gør det muligt for kraniet at ændre form under fødslen. Med tiden bliver disse mellemrum til hårdt knoglevæv.
Midtansigtet er det område, hvor næsehulen og overkæben findes, og denne region indeholder også de øverste tænder. Maxilla er den primære knogle i midten af ansigtet, og den vokser gradvist i størrelse med tiden, indtil 16-18-årsalderen. Kæbeknoglen er forbundet med kraniet og midten af ansigtet (figur 1). Ved fødslen er barnets hage placeret længere tilbage end en voksens hage, fordi kæben er mindre end overkæben. Med tiden vokser kæben fremad. Amning stimulerer kæbens fremadrettede vækst og fremmer udviklingen og den korrekte tilpasning af overkæben til kæbeknoglen. Når babyer får flaske, er der større sandsynlighed for fremtidige problemer med knoglernes placering, fordi der ikke er nok stimulans til korrekt knoglevækst.

Sutter og flasker, kendt som kunstige brystvorter, kan have en negativ indvirkning på børns sundhed og udvikling, hvis de bruges forkert eller for længe [1]. Nogle mødre kan ikke amme og bruger flasker til at give deres børn mad; at sutte på moderens bryst eller på en flaske kaldes nutritive sucking, da det giver næring. Der findes en anden type suttevaner, som kaldes non-nutritive sucking hvor barnet sutter på en sut, sine fingre (især tommelfingeren) eller legetøj.
Selv når babyen stadig er i moderens mave, kan en undersøgelse kaldet ultralyd afsløre, at babyen har en finger i munden, hvilket indikerer, at suttevanen er et instinkt, der hjælper babyer med at overleve, fordi de har brug for at sutte for at få føde, efter de er blevet født [2].
I perioden fra fødslen til 12 måneders alderen fører babyer ofte deres fingre og endda andre genstande til munden som en del af deres læring om verden omkring dem ved hjælp af deres sanser. Men denne adfærd kan blive skadelig, hvis den varer for længe, fordi den kan ændre ansigtets vækstmønster. For eksempel kan tænderne komme til at stå skævt, ansigtsmusklerne kan blive aktiveret forkert på grund af den kraft, der bruges til at sutte, og ansigtsknoglerne kan vokse mindre end normalt [3]. Selv om læger fra Verdenssundhedsorganisationen generelt ikke anbefaler brugen af sutter, bruger forældre dem ofte, fordi de nogle gange virker beroligende og trøstende på barnet.
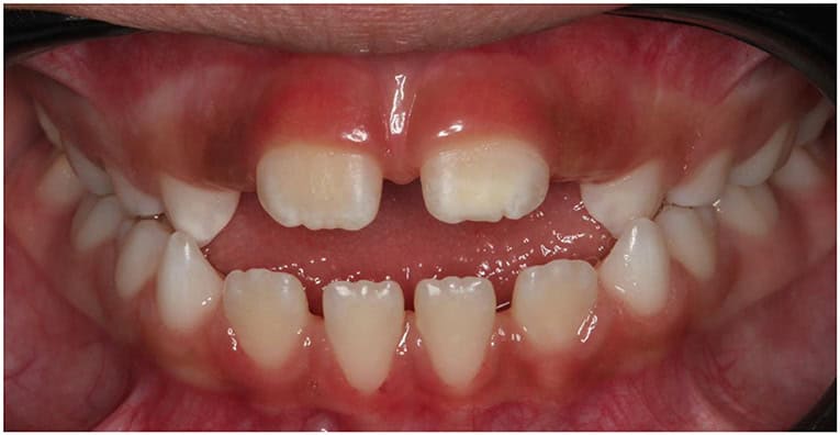
De skadelige virkninger af ikke-nærende sutteri afhænger af en kombination af tre faktorer: hvor længe vanen varer (varighed), hvor ofte den forekommer, og hvor hårdt der suges på genstanden (kraft). Der kan opstå flere ændringer i ansigtet på grund af langvarig sutten på flaske eller sut eller sutten på fingrene eller en anden genstand. For det første mundhulen kan ændre form for at rumme en genstand, der ikke hører naturligt hjemme i munden. Det kan medføre, at tænderne begynder at ændre position, hvilket kaldes malocclusion. Når en genstand er i munden, er tungen i forkert position, hvilket resulterer i en uddybning af den hårde gane (stigning i højde og konkavitet), hvilket kan reducere pladsen inde i næsen, da den hårde gane er næsens “gulv” (figur 2).

To almindelige malokklusionsproblemer er posteriort krydsbid og anteriort åbent bid. Ved krydsbid passer tænderne i over- og undermund ikke korrekt sammen – tænderne kan være vippet fremad eller bagud. Et åbent bid opstår på den anden side, når de øverste og nederste fortænder ikke rører hinanden, selv når munden er lukket (figur 3). Disse malokklusioner kræver tandlægeudstyr som bøjler eller holdere for at korrigere dem.

Efter fødslen fungerer vejrtrækning, synkning og sutning normalt alle sammen på en sund måde. Under amning stimuleres barnets ansigtsmuskler, når det sutter. Det er, som om barnet masserer moderens bryst og får mælken til at løbe ud, så barnet kan drikke. Dette arbejde med ansigtsmusklerne under amningen bidrager til udviklingen af ansigtet . Under amning spiller tungen heller ikke nogen rolle i synkningen, hvilket gør det muligt for barnet at trække vejret og synke på en koordineret måde. Ved flaskeernæring skal barnet sutte for at trække mælken ind i munden, hvilket kræver mindre kraft, og denne metode bruger færre muskler end amning. Ved flaskemadning bruges tungen som synkeorgan, idet den bevæger væsken bagud for at sluge den, hvilket afbryder vejrtrækningen. Derfor kan langvarig flaskemadning, ligesom ikke-nærende sugning, også have nogle negative virkninger på barnets ansigtsudvikling. Selvom naturlig amning stimulerer flere muskler og er mere trættende for barnet, er det mere gavnligt, da det fremmer væksten og udviklingen af ansigtsknoglerne og hjælper med muskeltonus [4].
Selv om suttevaner er almindelige og kan være en trøst for børn, er det vigtigt, at familier er opmærksomme på de risici, der er forbundet med langvarig brug af sutter, flasker og tommelfingersutning. Selv om det er vigtigt for barnets udvikling at sutte, kan det påvirke ansigtets vækst og udvikling negativt, hvis man bruger uhensigtsmæssige ting eller sutter i længere tid. For at støtte deres babyers ansigts-, kæbe- og tandudvikling bør forældre minimere varigheden af ikke-næringsrigtig sutten, undgå at tilbyde sutter og engagere deres børn i andre aktiviteter for at distrahere dem.
Kraniofacial vækst: Kraniofacial vækst er den måde, hovedet og ansigtet vokser og ændrer sig på, når man bliver ældre.
Næsehulen: Næsehulen er et rum inde i din næse. Når du trækker vejret ind, kommer der luft ind i næsen og bevæger sig gennem dette rum.
Maxilla: Den knogle, der udgør den øverste del af munden, hvor de øverste tænder sidder fast.
Amning: Amning er, når en mor fodrer sit barn med mælk fra sine bryster.
Næringsrig sutten: Ernæringssugning er den måde, hvorpå babyer drikker mælk for at få den mad, de har brug for til at vokse sig stærke og sunde.
Ikke-nutritiv sutten: Non-nutritiv sutning er, når babyer sutter på ting, men de prøver ikke rigtig at få mad. Det kan være at sutte på en sut, tommelfingeren eller endda fingrene.
Mundhulen: Mundhulen er den indvendige del af munden. Den omfatter læber, tunge, tandkød samt tag og bund i munden. Det er her, du tygger din mad og blander den med spyt, som er en særlig saft, der gør det lettere at synke.
Malokklusion: Ukorrekt placering af tænderne, når kæberne er lukkede.
Den hårde gane: Den hårde struktur, der danner taget i munden bag fortænderne. Kaldes også ganebenet.
[1] Queiroz, A. M., Paula-Silva, F. W. G., Borsatto, M. C., Nelson-Filho, P., Silva, L. A. B. og Díaz-Serrano, K. V. 2010. Sammenhæng mellem fodring og ikke-ernæringsmæssige vaner. Odontologia Clinico Cientifica. 9:209-14.
[2] Paula-Silva, F. W. G. 2023. Prænatal tandpleje. São Paulo: Santos Publicações.
[3] Maia-Nader, M., Silva de Araujo Figueiredo, C., Pinheiro de Figueiredo, F., Moura da Silva, A. A., Thomaz, E. B., Saraiva, M. C., et al. 2014. Faktorer forbundet med langvarige ikke-nærende suttevaner i to kohorter af brasilianske børn. BMC Public Heal. 22:743. doi: 10.1186/1471-2458-14-743
[4] Ling, H. T. B., Sum, F. H. K. M., Zhang, L., Yeung, C. P. W., Li, K. Y., Wong, H. M., et al. 2018. Sammenhængen mellem næringsrige og ikke-næringsrige suttevaner og primær dental okklusion. BMC Oral Health 18:145. doi: 10.1186/s12903-018-0610-7
Mange tenniskampe finder sted i varme omgivelser, når solen skinner. Tennisspillere skal derfor træne i varmen for at lære at præstere under varme forhold. Selvom de måske får rådet til at bære lyst tøj, bærer mange spillere sorte T-shirts under træning og kampe. Denne undersøgelse, der blev gennemført med unge, dygtige tennisspillere, undersøgte, om T-shirtens farve (sort eller hvid) havde nogen indflydelse på spillerne. Under to træningskampe i varmen (32 °C) målte vi luft- og T-shirt-temperaturen, hvor hårdt spillerne følte, at de arbejdede, hvor komfortable de følte sig med omgivelserne, og hvor trætte de følte sig. Resultaterne viste, at når man spiller tennis udendørs i varmen, har T-shirtens farve ingen indflydelse på fysiske faktorer som temperatur. At bære en sort T-shirt kan dog have en negativ indflydelse på mentale faktorer ved at øge atleternes følelse af at arbejde hårdt, træthed og ubehag.
…Børn har brug for at bevæge sig. Bevægelse af kroppen kaldes også fysisk aktivitet. Fysisk aktive børn har sundere kroppe og sind. Når børn er fysisk aktive, hjælper det deres kroppe og sind med at føle sig godt tilpas. De fleste børn opfylder ikke de nationale anbefalinger for fysisk aktivitet. Skoler er et godt sted at hjælpe børn med at bevæge sig mere. En måde at gøre dette på er at give børnene mulighed for at være fysisk aktive i klasseværelset. Når børn er fysisk aktive i klasseværelset, kaldes det bevægelsesintegration. Når børn sidder for længe, kan de føle sig triste og ensomme, men når lærerne bruger bevægelsesintegration, føler børnene sig gladere og klar til at lære. I denne artikel vil vi tale om, hvorfor bevægelsesintegration er vigtigt, og hvordan det kan hjælpe børn med at klare sig bedre i skolen.
…Cerebral synshandicap (CVI) er en synsforstyrrelse forårsaget af hjerneskade, der gør det vanskeligt at behandle information fra øjnene. Selvom deres øjne fungerer fint, har børn med CVI ofte svært ved at finde og genkende objekter, især på rodede eller travle steder. Klinikere, såsom øjenspecialister (der studerer øjne og synsfunktioner) og neuropsykologer (der studerer hjernefunktioner), arbejder på at identificere børn med CVI og støtte dem, hvis de har det. En nyttig test er en visuel søgeopgave, der viser, hvordan børn leder efter ting. Hvorfor er det svært for børn med CVI at søge? Videnskabelige forskere bruger værktøjer som øjenregistrering, der viser, hvor børn kigger hen under en søgning, og hjerneafbildning, der hjælper dem med at forstå, hvordan dele af hjernen arbejder sammen. Ved at kombinere klinisk praksis og videnskabelig forskning kan vi bedre forstå, hvordan børn med CVI oplever verden, og finde nye måder at hjælpe dem i dagligdagen.
…Forestil dig at kunne styre dit yndlingsvideospil ved blot at tænke på det! Det lyder måske som science fiction, men denne utrolige teknologi er ved at blive en realitet takket være hjerne-computer-grænseflader (BCI’er). BCI’er muliggør kommunikation mellem hjernen og et kunstigt apparat. Forestil dig din hjerne som en kraftfuld maskine, der sender elektriske signaler, når du vil gøre noget, f.eks. styre en robotarm med tankerne, efter at du har mistet evnen til at bevæge dine hænder. BCI’er overfører hjernesignaler til en computer, som derefter lærer at forstå disse signaler og oversætte dem til instruktioner, der styrer enheden. I denne artikel udforsker vi en verden, hvor sind og maskiner interagerer, og hvor mulighederne kun er begrænset af vores fantasi.
…